Skip links

Deep Bite/ Overbite

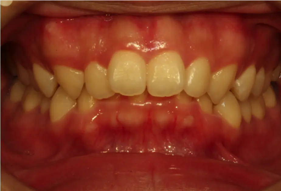
What are Deep Bite?

A deep bite—also called an excessive overbite—is when the upper front teeth overlap the lower front teeth significantly, often covering them almost entirely. It’s more than just a cosmetic concern: deep bite can affect chewing, speech, jaw health, and overall facial harmony. Severity ranges from mild to pronounced, and early detection allows simpler, more predictable treatment.

How does it happen?

Skeletal Discrepancy

If the upper jaw grows more than the lower jaw, or the lower jaw is underdeveloped, it leads to excessive overlap of front teeth.

Dental Crowding

When permanent teeth lack space or erupt incorrectly, they shift and deepen the bite.

Bruxism

Grinding or constant clenching can push teeth into a deeper bite over time.

Childhood Habits

Thumb-sucking, tongue thrusting, prolonged pacifier use or bottle feeding influence teeth and jaw alignment toward deep bite.

What are its side effects?

Enamel Wear

Enamel Wear

Constant overlap causes upper front teeth to strike lower ones or gum, leading to enamel erosion and sensitivity.

Gum Recession

Gum Recession

Lower incisors may contact gums behind upper teeth, damaging soft tissue and causing gum recession.

Chewing Difficulties

Chewing Difficulties

Misaligned bite reduces biting efficiency and may strain teeth during eating.

TMJ Issues

TMJ Issues

Deep bite places stress on temporomandibular joints, leading to fatigue, pain, clicking, or headaches.

Speech Impediments

Speech Impediments

Front tooth overlap can interfere with tongue placement, causing lisping or unclear sounds.

Aesthetic Impact

Aesthetic Impact

Excessive overlap can shorten lower face height, change chin appearance, and unbalance facial profile.

How can it be fixed?

At AQR Orthodontics (Jumeirah), led by Dr. Abdul Qadir, depending on age and severity.

Kids (6-12 yrs)

In children whose jaw growth is still active, use growth-modifying appliances like bite plates, anterior bite-turbo devices, functional appliances (e.g., twin-block, edgewise bite correctors) to reduce overlap, habits correction (tongue thrust, thumb sucking) and sometimes use of removable or partial braces to guide tooth eruption.

Teens (13-18 yrs)

At this stage, full braces (metal or ceramic) often combined with vertical elastics, incisor intrusion techniques, or TADs (temporary anchorage devices) to correct deep bite. Clear aligners may work for mild-to-moderate cases when combined with attachments/elastics for bite depth control.

Adults (18+ yrs)

For adult deep bites, if dental only, options include braces or aligners with intrusion, crowns/restorative build-up in some cases. Severe skeletal deep bites often require combined orthodontic-surgical (orthognathic) correction to reposition jaws, followed by retention to prevent relapse.

Benefits of Accelerated Orthodontics
Dr AQR

Why choose AQR Orthodontics in Jumeirah?

Precision Diagnosis

We differentiate skeletal vs dental deep bite causes using advanced imaging to tailor the right treatment.

Age-Appropriate Treatment

From early intervention in kids to surgical options in adults, we have solutions for every age group.

Modern Techniques & Comfort

Use of clear aligners, TADs, digital planning, and minimal discomfort protocols.

Long-Term Stability

Emphasis on retention, follow-up, and relapse prevention so results last.

If you suspect a deep bite, schedule your consultation with Dr. AQR today to assess your situation and explore custom treatment plans toward a healthier, balanced smile.

Treatments we offer (bite-focused)

Transforming Smiles with Expert Orthodontist in Jumeirah, Dubai

We regularly publish practical guides for Jumeirah families, including pieces like

Blog & patient education

Ready to fix an underbite?

Book a consultation at AQR Orthodontics, Jumeirah (Al Wasl Road, Jumeirah 2) with Dr. AQR. We’ll assess whether early guidance, aligners/braces, or surgical orthodontics is the most efficient, aesthetic, and stable path for your smile.

  • Call Us: +971 56 882 7870
  • Email Us: info@aqrorthodontics.com

send a message

Request A Call Back